
忙しくても、歯の治療はあきらめなくて大丈夫。
「通う時間がない」
「何回も通院するのが大変」
そんな理由で治療を後回しにしてしまっていませんか?
西宮北口アネックスデンタルクリニック・矯正歯科では、
忙しい方でも効率よく治療を進められるよう
短期集中治療を行っています。
■ 目次
■ 短期集中治療とは?

短期集中治療とは、
通常であれば複数回に分けて行う治療を、
1回の診療時間を長く確保することでまとめて進める治療方法です。
■ 通常治療との違い
例えば、奥歯を上下左右で治療する場合、
通常であれば、1ブロックずつ治療を進めるため、
・虫歯除去+型取り → 被せ物
この流れを 2回 × 4ブロック=合計8回
の通院が必要になります。
しかし短期集中治療では、
複数箇所をまとめて処置し、型取りも同時に行うことができるため、
2回の通院で完了するケースもあります
■ 治療期間の違い
通常:3ヶ月以上かかるケース
👇
短期集中治療:2〜3週間で完了することも可能
👉 通院回数・期間ともに大幅に短縮できます
■ 費用について
短期集中治療は、治療内容ではなく
確保する診療時間によって費用が決まります。
・2時間:40,000円+税
・3時間:60,000円+税
・4時間:80,000円+税
※時間確保の費用です
※治療内容に応じて別途費用がかかる場合があります
■ なぜ自由診療になるのか
短期集中治療では、通常よりも長い診療時間を確保し、
複数の処置を同時に行う必要があります。
また、患者様ごとにスケジュールや治療内容を柔軟に調整するため、
保険診療の枠組みでは対応することができません。
そのため、自由診療での対応となります。
👉 その分、効率よく質の高い治療を受けていただくことが可能です。
一見すると高く感じるかもしれませんが、
・通院回数が減る
・移動時間や待ち時間が減る
・短期間で治療が終わる
といったメリットがあります。
👉 結果的に、時間的・精神的な負担を大きく減らすことができます。
■ 短期間でも妥協のない治療
短期集中治療は「早く終わる」だけでなく、
治療の質も重要です。
当院では、
矯正・審美・歯周外科・インプラント・噛み合わせ治療など、
各分野の専門性を活かした歯科医師が対応し、
👉 短期間でも妥協のない治療を行っています。
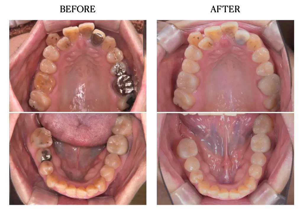
■ 短期集中治療の症例
左右の臼歯をまとめて治療した症例

処置内容: 右上567、右下456、右上4567 虫歯治療
右上6、右下56、左上4567はセラミックによる修復
短期集中治療 2時間 3回
処置費用:649,000円(消費税込) 短期集中治療、セラミックの費用含む
治療回数 3回 期間 1ヶ月
1回目 右の上下臼歯の虫歯治療、型取り
2回目 右の上下臼歯のセラミックの詰め物装着 左の上臼歯の虫歯治療、型取り
3回目 左の上臼歯のセラミックの詰め物装着
■ 専用個室・鎮静にも対応

短期集中治療や外科処置を行うための専用個室をご用意しています。
また、ご希望の方には静脈内鎮静法を併用することで、
うとうと眠ったようなリラックスした状態で、長時間の治療を受けていただけます。
■ こんな方におすすめ
・仕事や育児が忙しく、何度も通院できない方
・遠方から通院されている方
・できるだけ短期間で治療を終えたい方
・長期間放置してしまい、一気に治療したい方
■ 当院が対応している患者様
西宮北口アネックスデンタルクリニック・矯正歯科では、
忙しくて通院回数を減らしたい方や、短期間で治療を終えたい方のために短期集中治療を行っています。
遠方から通院される患者様も多く、
兵庫県内だけでなく、県外から専門的な治療を希望して来院される方もいらっしゃいます。
■ ご希望の方へ
短期集中治療をご希望の患者様は、
カウンセリング時にスタッフまたは担当医にお伝えください。
患者様のご希望やスケジュールに合わせて、
最適な治療計画をご提案いたします。
■ ご予約はこちら
今の状態でも大丈夫です。まずは相談だけでも可能です。
■ まとめ
忙しくて通えないからといって、
治療をあきらめる必要はありません。
短期集中治療を活用することで、
効率よく、そして確実に治療を進めることができます。
👉 短期間でも妥協のない治療を行うことを大切にしています。
この記事は、西宮北口 アネックスデンタルクリニック院長・岡本が監修しています。


