
はじめに
「歯がボロボロで恥ずかしい」「もう治らないのでは?」と悩んでいませんか?
実は、同じように不安を抱えて来院される方は少なくありません。
結論から言うと、歯がボロボロでも治療は可能です。
大切なのは「なぜここまで悪くなったのか原因を探り、根本から解決すること」。歯が悪くなる背景には、虫歯・歯周病・噛み合わせ・生活習慣など複数の要素が絡んでいることが多いため、包括的な視点で治療計画を立てることが必要です。
この記事の内容
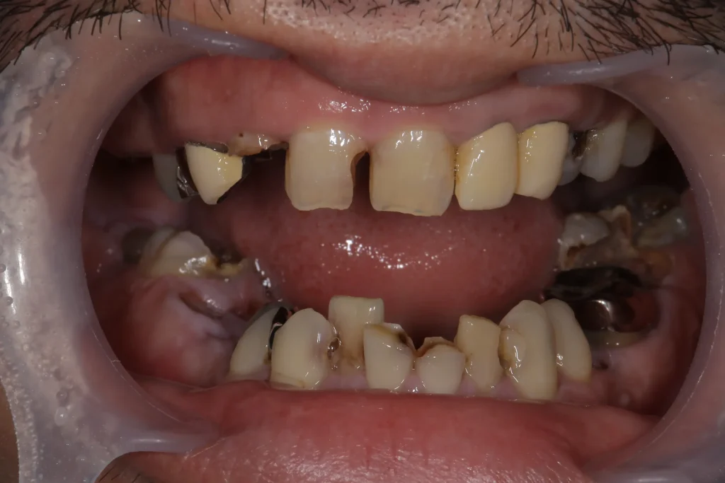
歯がボロボロになる主な原因

- 虫歯の進行
治療を途中でやめたり、詰め物・被せ物の下で虫歯が再発する「二次虫歯」が進むと、短期間で一気に歯が崩れてしまうことがあります。 - 歯周病
歯を支える骨(歯槽骨)が溶けて、歯がぐらぐらになってしまう病気です。日本人が歯を失う最大の原因でもあります。 - 過去の治療の劣化
古い銀歯や被せ物の隙間から虫歯が広がり、気づいたときには歯のほとんどが失われているケースもあります。 - 噛み合わせや歯ぎしり
強い負担がかかり続けることで歯が割れたり欠けたりし、最終的に抜歯が必要になることもあります。 - 生活習慣・放置
間食が多い、歯磨き不足、忙しさや恐怖心で歯医者から遠ざかる…。こうした要素が積み重なり、複合的に悪化していきます。
👉 このように、歯がボロボロになる原因はひとつではなく複数が絡み合っているのです。だからこそ、ただ悪い歯を治すのではなく、根本的な原因にアプローチする必要があります。
治療の流れ
- 精密検査
CT・口腔内写真・歯周検査などで口全体を正確に把握します。 - 原因分析と治療計画
虫歯・歯周病・噛み合わせ・生活習慣を総合的に評価し、治療の優先順位を決定します。 - 段階的な治療
保存できる歯は最大限残しながら、必要に応じて補綴・矯正・外科治療を組み合わせて進めます。
歯がボロボロの場合の治療方法の選択肢
- 根管治療や補綴(被せ物・セラミック)
神経の治療を行い、被せ物で補強することで多くの歯は残せます。 - 歯周病治療
歯ぐきや骨の環境を改善し、ぐらついている歯を安定させます。 - 矯正・審美治療
歯並びや噛み合わせを整え、機能と見た目を同時に改善します。
歯がボロボロでどうしても残せない場合
重度の虫歯や歯周病でどうしても保存できない歯もあります。
その場合は、フルマウス治療やインプラント治療でまとめて治す方法をご提案することも可能です。
👉 詳しくは [フルマウス治療ページ] をご覧ください。
忙しさ・恐怖心で歯医者に通えない方へ
歯がボロボロになる患者さんの中には、
- 仕事が忙しくて通院の時間がない
- 治療が怖くて行けない
といった理由で先延ばしにしてしまい、結果的に症状が悪化してしまう方も少なくありません。
鎮静 × 短期集中治療で解決
当院では、静脈内鎮静法を併用した短期集中治療を行っています。
- 眠っている間に治療が進むため、恐怖心を感じにくい
- 長時間の治療をまとめて行えるため、通院回数を減らせる
「怖い・忙しい」が理由で歯医者から足が遠のいていた方でも、安心して効率的に治療を受けられる環境を整えています。
👉 詳しくは [静脈内鎮静治療ページ] をご覧ください。
当院の特徴
西宮北口、大阪、神戸エリアで歯がボロボロでお困りの方はぜひ西宮北口アネックスデンタルクリニック・矯正歯科へお越しください。

- CT撮影やシミュレーションで将来のリスクを徹底分析
- 専用オペ室で安全なインプラント治療に対応
- 見た目と噛み合わせを総合的に考えた治療計画を提案
- 不安な方には静脈内鎮静法で眠っている間の治療も可能
- 日本顎咬合学会や日本インプラント学会の認定、インビザライン・プラチナエリートプロバイダー資格を持つ、包括的治療に精通したDrのみが在籍
- 複数の治療法を提示し、希望や予算に合わせて選べる安心感
まとめ
歯がボロボロでも、治療の選択肢は必ずあります。
大切なのは「歯が悪くなった原因を正しく見極め、根本から解決すること」。
放置すれば残せる歯も失うリスクが高まります。
「もうダメかも…」と思っても、まずは一度ご相談ください。
保存できる歯を守りながら、必要に応じて包括的な治療で噛める・見た目を整える・長持ちする歯を目指します。
この記事は、アネックスデンタルクリニック院長・岡本が監修しています。


