
皆さまは、歯科医院で定期的に検診を受けていますか?
病院は「痛くなったら行く場所」というイメージをお持ちの方も多いかもしれません。
しかし、お口の中は少し事情が違います。
虫歯や歯周病は、自覚症状がないまま進行することが多い病気です。
そのため、症状がなくても定期的に検診を受けることが大切です。
定期的に歯科医院へ通うことで、トラブルを未然に防ぐことができます。
では、歯科の定期検診ではどのようなことを行っているのでしょうか。
今回は、歯科医院で行う「定期検診の内容」について、わかりやすくご紹介します。
定期検診の流れ
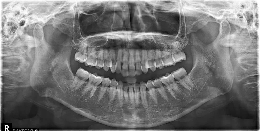
レントゲン撮影

当院では、年に1回パノラマエックス線写真を撮影しています。
この検査では、目で見ただけでは分からない部分を詳しく確認します。
たとえば、歯の根や顎の骨の状態をチェックします。
また、歯と歯の間に虫歯がないかも確認します。
このように、隠れたトラブルの早期発見につながります。
そのため、症状がなくても定期的な撮影がとても重要です。
口腔内診察
定期検診では、歯だけを診ているわけではありません。
それだけでなく、ほっぺたの内側の粘膜や舌などの軟組織も丁寧に確認します。
なぜなら、これらの部位をチェックすることで、前がん病変や口腔がんの早期発見につながる可能性があるからです。
そのため、お口全体の健康を守るうえで、欠かせない大切な診察のひとつとなっています。
歯周組織検査
次に行うのが歯周組織検査です。
この検査では、物差しのような「プローブ」という器具を使用します。
まず、歯周ポケットの深さを測定します。
あわせて、出血の有無を確認し、歯ぐきの炎症や歯周病の進行度を把握します。
さらに、磨き残し(プラーク)が多い部分をチェックします。
その結果、汚れが残りやすい場所を確認します。
そのうえで、どう磨けば歯垢をしっかり落とせるのか、患者さま一人ひとりに合わせたブラッシング指導を行います。

🪥 検査表の見方 🪥
まず、歯周ポケットの深さが3mm以下の場合は、健康な歯ぐきの状態と考えられます。
一方で、検査表の数字がピンク色で表示されている部分は、検査時に出血が見られた箇所です。
実は、出血があるということは、歯ぐきに炎症が起きているサインでもあります。
さらに、歯周ポケットが4mm以上ある場合は、歯周病が進行しやすい状態といえます。
そのため、早めにケアを見直すことが大切です。
そして、これらの検査結果をもとに、現在のお口の状態を把握します。必要に応じてクリーニングやブラッシング方法の見直しを行い、歯周病の予防・進行防止につなげていきます。
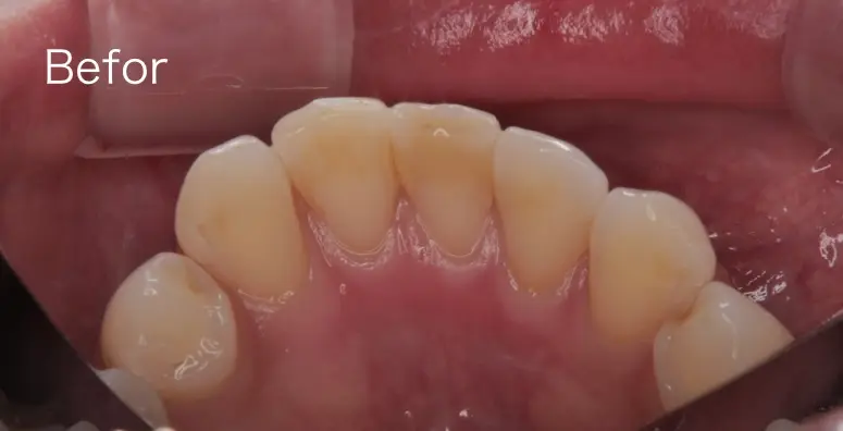
クリーニング・PMTC

定期検診の際には、クリーニング(PMTC)も行います。
まず、超音波の機械を使用し、歯の表面や歯ぐきの境目に付着した歯石・歯垢(プラーク)・バイオフィルムを丁寧に除去します。
実は、歯石は毎日しっかり歯磨きをしていても、唾液の成分などの影響で付着してしまうことがあります。
そのため、ご自宅のケアだけで完全に防ぐことが難しい汚れです。
そこで、定期的に歯科医院でクリーニングを受け、歯石や汚れを取り除くことが大切です。その結果、歯周病の予防につながり、お口の健康を長く保つことができます。
また、歯の表面がツルツルになることで、汚れが再び付着しにくくなるというメリットもあります。
歯石を除去する前とした後の写真です。




フロッシングと歯間ブラシ
最後に行うのが、フロッシングと歯間ブラシによる清掃です。
実は、歯と歯の間は、機械や歯ブラシだけでは汚れが届きにくい部分です。
そのため、フロスを使って歯と歯の隙間を全体的に丁寧に清掃します。細かい汚れや歯垢もしっかり取り除きます。
さらに、お口の中の状態や歯ぐきの状態によっては、歯間ブラシを併用することもあります。
このように、歯と歯の間までしっかりケアすることで、虫歯や歯周病の予防効果がより高まります。
また、日常のセルフケアでは落としきれない汚れを除去し、お口の中をより清潔な状態に保つことができます。
その他
もし、前回のご来院からお口の中の状態に変化があった場合や、気になる症状がある場合には、必要に応じて追加の処置を行います。
そのため、どんな小さなことでも、気になることがあればお気軽にお伝えください。
たとえば、
歯がしみるようになった場合
→ しみどめの成分が含まれたお薬を塗布し、症状の緩和を行います。
噛むと痛みを感じる場合
→ まずは痛みの原因を確認します。そのうえで歯科医師に引き継ぎ、適切な診断・処置を行います。
このように、その日の状態に合わせて柔軟に対応できるのも、定期検診の大きなメリットです。
また、定期検診の間隔は、すべての方が同じではありません。
患者さまそれぞれのお口の中の状況や、良い状態をどれくらい保てているかを確認しながら、無理なく健康を維持できる期間を一緒に相談して決めていきます。
そのため、検診の間隔は人によってさまざまです。
ご自身に合ったペースで通っていただくことが、お口の健康を長く守ることにつながります。
なぜ定期検診が大切なのか
では、なぜ歯科の定期検診が大切なのでしょうか。
「特に困っていることもないし、今は行かなくていいかな」と思われている方も、多いかもしれません。

日本・アメリカ・スウェーデン3カ国のオーラルケア意識調査Vol.1 ライオン株式会社
しかし、定期検診の受診状況を国ごとに比べてみると、大きな違いがあることが分かります。こちらは、予防先進国といわれるスウェーデン・アメリカ・日本の定期検診受診状況を調査した結果です。
まず、海外ではいざ治療となると自費診療となるケースが多く、費用が高額になりやすい傾向があります。そのため、予防への意識が非常に高いといわれています。
一方で、日本は保険制度が整っており、海外に比べると医療費は抑えられています。
しかし、その反面、定期検診の受診率はとても低いのが現状です。
そして、その結果として、80歳時に残っている歯の本数にも大きな差が出ています。
日本:平均 12本
スウェーデン:平均 20本
アメリカ:平均 17本

さらに、日本国内でも、定期検診を受けている人と受けていない人とでは、残存する歯の本数に差が出ることがわかっています。
このように、定期検診を受けることで、虫歯や歯周病を早期に発見・対処することができます。
その結果、大きな治療が必要になる前に済み、歯科医院へ通う回数が少なくなります。つまり、医療費の負担も軽減されます。

データ分析に基づくPDCAに則した保険事業 デンソー健康保険組合
しかし、定期検診のメリットは、それだけではありません。
実は、お口の健康は全身の健康と深く関わっています。
デンソー健康保険組合による調査では、歯科の定期検診を受けている方と、受けていない方とでは、医療費に差が出ることも明らかになっています。
このことから、歯科医院に定期的に通うことは、
歯を守るだけでなく、全身の健康を守ることにもつながるといえるのです。
まとめ
いかがでしたでしょうか。
「何をされているのかわからないから歯医者は怖い」「できれば行きたくない場所」と感じている方も、少なくないと思います。
しかし実は、虫歯や歯周病になってから治療をする方が、より怖く、痛みや負担も大きくなりがちです。
さらに、一度虫歯や歯周病になってしまうと、内臓と同じように、完全に元の健康な状態へ戻すことはできません。
だからこそ、症状が出る前の予防がとても大切です。
定期検診を受けることで、トラブルを早期に発見し、痛みの少ない処置でお口の健康を守ることができます。
もし、これまであまり歯科医院に行く機会がなかった方や、
「しばらく定期検診を受けていなかったな」と感じている方は、ぜひこの機会に定期検診を受けてみてはいかがでしょうか。
アネックスデンタルクリニック・矯正歯科の歯科衛生士をはじめスタッフ一同ご来院をお待ちしております。
参考文献
日本・アメリカ・スウェーデン3カ国のオーラルケア意識調査Vol.1 ライオン株式会社
日本臨床歯周病学会の患者様向けリーフレット
データ分析に基づくPDCAに則した保険事業 デンソー健康保険組合
この記事は、西宮北口 アネックスデンタルクリニック院長・岡本が監修しています。


