最後に歯のクリーニングを受けたのは、いつ頃でしょうか。
症状がないと、つい歯科検診は後回しになりがちです。
「忙しいからまた今度でいいや」
「痛みがないから大丈夫」ーーそう思っていませんか?
しかし、歯周病は自覚症状がほとんどないまま、静かに進行していく病気です。気づいたときにはかなり進行している、というケースも少なくありません。
今回は歯周病について、原因や進行の仕方、治療方法、そして予防の大切さまでわかりやすくお話ししていきます。
この記事の内容
歯周病とは
歯周病とは、歯と歯ぐきの境目にたまった細菌が原因で炎症が起こる感染症です。
初期段階では、歯ぐきが赤く腫れたり、歯みがきのときに出血したりする程度で、強い痛みはほとんどありません。そのため異常に気づきにくく、つい放置されやすい病気です。
しかし、進行すると歯ぐきの炎症はさらに広がり、歯を支えている骨(歯槽骨)が少しずつ溶けていきます。歯を支える土台が弱くなることで歯がぐらつき、最終的には自然に抜けてしまうこともあります。
そして、一度失われた歯槽骨は基本的に元の状態に戻すことはできません。そのため歯周病は「完全に治す」というよりも「これ以上進行させない」「今の現状を維持する」ことを目的とした治療が中心になります。
だからこそ、予防と早期発見が非常に重要なのです。
歯周病の進行
歯周病は、急激に悪化する病気ではありません。何年、時には何十年という長い年月をかけて、ゆっくり進行していきます。
初期の段階は「歯肉炎」と呼ばれ、炎症は歯ぐきのみにとどまっています。この段階であれば、適切なセルフケアと歯科医院でのクリーニングによって、健康な状態に戻すことが可能です。
しかし、そのまま放置すると「歯周炎」へと進行します。歯と歯ぐきの間の溝(歯周ポケット)が深くなり、その中に細菌がたまりやすくなります。
歯周ポケットが深くなるほど、歯ブラシでは届かない部分が増え、さらに炎症が進むという悪循環に陥ります。痛みが出にくいことから「サイレントキラー」とも呼ばれています。
自覚症状が出たときには、すでに重症化しているケースも少なくありません。

そもそも歯石とは
歯周病の大きな原因のひとつが歯石です。
歯石とは、歯の表面に付着した歯垢(プラーク)が、唾液の中に含まれるリンやカルシウムと結びつき、石のように硬くなったものです。
歯垢は細菌のかたまりで、毎日の歯みがきで取り除くことができます。しかし、磨き残しがあると、およそ2日ほどで歯石へと変化してしまいます。
歯石になってしまうと、歯ブラシでは取り除くことができません。さらに、歯石の表面はざらざらしているため、その上にまたに歯垢が付きやすくなります。こうして細菌が増えやすい環境がつくられ、歯ぐきの炎症が進んでしまうのです。
縁上歯石と縁下歯石の違い
歯石には、歯ぐきの上に付く「縁上歯石(えんじょうしせき)」と、歯ぐきの中に付く「縁下歯石(えんかしせき)」の2種類があります。
縁上歯石は、歯ぐきより上の見える部分に付く歯石で、白色や黄白色をしており、比較的目で確認しやすいのが特徴です。

↑ ⚪︎で囲っているところに縁上歯石がついています。
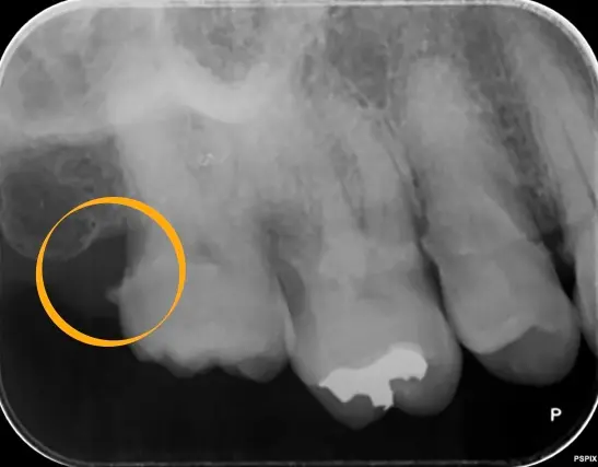
一方、縁下歯石は歯ぐきの中、歯周ポケットの奥にできる歯石です。血液成分が混ざるため黒褐色をしており、目で見ることはほとんどできません。そのため、ご自身では気づきにくいのが特徴です。
しかし実際には、この縁下歯石こそが歯周病を進行させる大きな原因となります。歯ぐきの奥で細菌が増殖し、炎症を慢性的に引き起こしてしまうのです。


↑ ⚪︎で囲っているところに縁下歯石がついています。
どのように除去するのか
初期の段階であれば、「超音波スケーラー」という機械を使って、歯ぐきの上に付いた歯石を効率よく除去することができます。振動と水の力で歯石を細かく砕きながら洗い流すため、比較的短時間で処置が可能です。
しかし、中等度以上に進行している場合は、歯ぐきの奥深くまで歯石が入り込んでいます。そのため、超音波スケーラーだけでは取りきれないことがあります。
そこで使用するのが「キュレット」と呼ばれる手用の器具です。歯科衛生士が歯の形や根の形に合わせて器具を使い分け、一本一本丁寧に歯石を取り除いていきます。
目で見えない部分を、手の感覚を頼りに確認しながら行う非常に繊細な処置のため、症状によっては複数回に分けて行うこともあります。

縁下歯石を除去するのに使うキュレットです。部位によって使い分けています。
回数がかかる理由
歯ぐきの中に付いた歯石は、すべての歯に均等に付着しているわけではありません。歯並びや噛み合わせ、ブラッシングの癖などによって、付き方は人それぞれ異なります。
また、炎症が強い状態で一度に広い範囲を処置すると、強い痛みや腫れが出てしまうことがあります。そのため、安全に、そして確実に改善へ導くためにも、数回に分けて治療を行うことが多いのです。
進行の程度やお口の状態によっては1回で終了する方もいますが、4〜6回ほどかけて丁寧に処置を行う場合もあります。大切なのは、無理のないペースで、確実に治療を進めていくことです。
放置するとどうなるか
歯周病をそのまま放置してしまうと、歯を支えている骨が少しずつ失われ、最終的には歯が抜けてしまうことがあります。
歯を失うと噛む力が低下し、食事の楽しみが減ってしまいます。それだけでなく、やわらかい物ばかりを選ぶようになることで栄養バランスが偏り、消化機能の低下につながることもあります。
さらに、歯を失った部分をそのままにしておくと、周囲の歯が倒れたり移動したりして、歯並びや噛み合わせが崩れる原因になります。結果として、他の歯にも大きな負担がかかり、さらなるトラブルを招く可能性があります。
歯周病が全身に及ぼす影響
近年の研究では、歯周病と全身疾患との関連が明らかになってきています。
歯周病菌が歯ぐきの血管から血流に入り込み、全身へ運ばれることで、糖尿病や心疾患、脳梗塞、誤嚥性肺炎などのリスクを高める可能性があると報告されています。
特に糖尿病とは相互に影響し合う関係にあることが分かっており、歯周病の改善が血糖コントロールの安定につながるケースもあります。

口は食べ物の入り口であると同時に、細菌の入り口でもあります。
お口の健康を守ることは、歯を守るだけでなく、全身の健康を守ることにつながっているのです。
予防のためにできること
歯周病予防の基本は、毎日の正しいブラッシングです。
さらに、歯間ブラシやデンタルフロスを使用することで、歯と歯の間の汚れまで効果的に取り除くことができます。
しかし、どれだけ丁寧に磨いていても、歯石の形成を完全に防ぐことは難しいのが現実です。そのため、定期的に歯科医院でプロによるクリーニングを受けることが大切になります。
一般的には3〜6か月に一度の定期検診が目安とされていますが、お口の状態によって適切な間隔は異なります。
歯科医院で定期的にチェックを受けることで、歯周病の早期発見・早期対応が可能になります。症状が出る前にケアをすることが、将来の歯を守ることにつながります。
まとめ
いかがでしたでしょうか。
歯周病は痛みが少なく、自分では気づきにくい病気です。しかし、放置すれば確実に進行してしまいます。そして、一度失ってしまった骨や歯は、元の状態に戻すことができません。
だからこそ、「今は大丈夫」と思っている“今”こそが、予防を始めるベストなタイミングです。
しばらく歯科医院を受診していない方は、ぜひ一度検診を受けてみてください。早めのチェックが、将来の大きなトラブルを防ぐことにつながります。
大切な歯を守ることは、これから先の人生の健康を守ることでもあります。毎日の小さな積み重ねと、定期的なプロフェッショナルケアで、健康なお口を一緒に維持していきましょう。
この記事は、西宮北口 アネックスデンタルクリニック院長・岡本が監修しています。


