
みなさんは、ホワイトニングにさまざまな方法があることをご存知でしょうか。
「ホワイトニング=歯を白くするもの」というイメージをお持ちの方は多いと思います。しかし実は、ホワイトニングにはいくつかの種類があります。
そして、それぞれに特徴や効果の出方が異なります。
まず知っておきたいのは、ホワイトニングには大きく分けて二種類あるという点です。さらに、選ぶ方法によって、白さの持続期間が変わります。
通院回数や費用にも違いがあります。
その為、ご自身のライフスタイルや希望に合った方法を選ぶことが大切です。
今回は、数あるホワイトニング方法の中から、
歯科医院で行う「オフィスホワイトニング」に焦点をあてて、詳しくご紹介します。


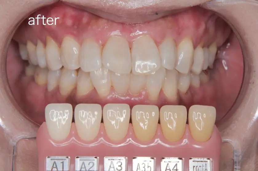
写真の下にあるのは歯の色見本です。
beforeはA3ですが、afterではA2~A1くらいになっています。
Q.オフィスホワイトニングとは何ですか?
A.オフィスホワイトニングとは、歯科医院に来院していただき、歯科医師または歯科衛生士が行うホワイトニングのことです。
専用の薬剤と機器を使用し、専門的な管理のもとで施術を行います。
その為、ご自身で薬剤を塗ったり管理したりする手間がありません。
さらに、施術後には歯の白さを実感しやすい傾向があります。
個人差はありますが、来院時と比べて、お帰りになる頃には「歯が明るくなった」と感じられる方も多くいらっしゃいます。
Q.どれくらい白くなりますか?
A.どの程度白くなるかは、歯の元々の色や着色の程度、生活習慣などによって異なります。
その為、実際に施術をしてみないと1回でどこまで白くなるかは分かりません。
ただし、多くの方が1回目の施術から変化を実感されています。
一方で、より理想的な白さを目指す場合は、複数回の施術をおすすめすることもあります。
例えば、写真の患者さまは2回のオフィスホワイトニングを行いました。
その結果、ご自身が満足される白さに仕上がりました。
このように、回数を重ねることで、より安定した白さを目指すことが可能です。

Q.どうやって施術しますか?
A.まず最初に、ホワイトニングの薬剤が歯ぐきに触れないよう、歯ぐきをレジン(保護材)で保護します。
これにより、刺激を最小限に抑え、安全に施術を行うことができます。
その後、歯の表面に専用のホワイトニング剤を丁寧に塗布します。
次に、ホワイトニング剤の効果を高めるため、専用の光を照射します。
光照射後は、約7分間そのまま時間を置き、薬剤が歯にしっかり作用するのを待ちます。
そして、この「薬剤の塗布 → 光照射 → 待機」という工程を、合計3回くり返して行います。
工程はシンプルですが、歯科衛生士が状態を確認しながら進めるため、安心して受けていただけます。
Q.一回の施術の時間はどれくらいですか?
A.オフィスホワイトニングは、1回あたり約90分のお時間でご予約をいただいています。
この時間には、施術前の準備やお口の状態の確認を行います。
歯ぐきの保護、ホワイトニング処置、そして施術後の説明までが含まれています。
そのため、実際にホワイトニング剤を使用している時間だけではありません。
安全に、そして効果的に行うための工程も含めた所要時間となります。
あらかじめ少し余裕をもってお時間を確保していただくことで、落ち着いた環境で施術を受けていただけます。
Q.痛みはありますか?
A.オフィスホワイトニング中や施術後に、知覚過敏のような症状を感じることがあります。例えば、歯がしみたり、歯ぐきに熱っぽさを感じたりする場合があります。
また、まれに歯肉や粘膜に違和感が出ることがあります。
軽い炎症、潰瘍が生じることもあります。
ただし、これらの症状は多くの場合一時的なものです。
通常は数日以内に自然に治まります。
さらに、症状の出方には個人差があり、まったく痛みを感じずに施術を終えられる方も少なくありません。
Q.誰でもできますか?
A.ホワイトニングは多くの方に受けていただける施術です。
ただし、すべての方が対象になるわけではありません。
例えば、無カタラーゼ症、喘息、ヘルペス、光線アレルギー、心臓疾患(ペースメーカーを使用されている方)、顎関節症のある方、また未成年の方、妊娠中・授乳中の方は、安全面を考慮し、ホワイトニングを行うことができません。
さらに、現在何らかのご病気で治療中の方についても、症状や服用中のお薬によっては施術が難しい場合があります。
そのため、該当する方は、あらかじめ主治医の先生にご確認いただくことをおすすめしています。
また、歯周病や虫歯が進行している場合には、先にその治療を終えてからホワイトニングを行う方が望ましいケースが多くあります。
お口の健康状態を整えることで、より安全で効果的なホワイトニングが可能になるためです。
Q.オフィスホワイトニングをしたことで歯に悪影響はありますか?
A.結論からお伝えすると、オフィスホワイトニングを行ったことで、歯がもろくなったり、虫歯や歯周病になりやすくなることはありません。
歯科医院で行うホワイトニングは、安全性が確認された薬剤を使用し、専門的な管理のもとで施術を行っています。
そのため、歯の構造そのものが弱くなることはありません。
正しく行えば、歯の健康を損なう心配はほとんどありません。
しかし一方で、もともと知覚過敏(歯がしみる症状)がある方の場合、ホワイトニング後に一時的にその症状が強く出ることがあります。
とはいえ、この症状も多くの場合、一時的なものです。時間の経過とともに落ち着いていきます。
Q.どれくらい効果が続きますか?
A.オフィスホワイトニングで一度歯を白くしても、時間の経過とともに少しずつ色は後戻りしていきます。
これはホワイトニングの特性であり、避けられないものです。
ただし、その後戻りのスピードや程度は、患者さまご自身の生活習慣によって大きく異なります。
例えば、コーヒーや紅茶、赤ワイン、カレーなど、着色のつきやすい飲食物を頻繁に摂取される方は、比較的後戻りしやすい傾向があります。一方で、日頃のケアや食生活に気をつけている方は、白さを長く保ちやすくなります。
しかしながら、後戻りを完全に防ぐことは難しくても、対策をすることで後戻りを緩やかにすることは可能です。
例えば、定期的にホワイトニングを行うことや、ホワイトニング効果のある歯みがき粉を日常的に使用することで、白さを維持しやすくなります。
Q.全部の歯が白くなりますか?
A.オフィスホワイトニングでは、笑ったときに見える範囲の歯を中心に施術を行います。
そのため、一般的には前から数えて5番目の歯(第二小臼歯)までをホワイトニングの対象としています。
一方で、それより奥にある歯、つまり奥歯2本(大臼歯)についてはホワイトニングの対象外となるため、白くなりません。
また、注意していただきたい点があります。
被せ物や詰め物が入っている歯、あるいは白いレジン(プラスチック素材)で修復されている部分は、ホワイトニングを行っても色が変わらないという特徴があります。これは、天然の歯にのみホワイトニング効果があるためです。
そのため、ホワイトニング後に周囲の歯との色の差が気になる場合には、被せ物や詰め物を白くなった歯の色に合わせてやり替える治療が必要になることがあります。
Q.ホワイトニング終了後すぐに食事をしても大丈夫ですか?
A.ホワイトニング終了後、基本的にはすぐにお食事をしていただいても問題ありません。
ただし一方で、施術直後の歯は着色しやすい状態になっているため、食べる物・飲む物には注意が必要です。
特に、コーヒー・紅茶・赤ワイン・カレー・チョコレート・醤油やソースを多く使った料理など、着色のつきやすい飲食物については、12〜24時間ほど控えていただくことをおすすめしています。
その間は、水や白湯、牛乳、白い食べ物(パン、白米、うどんなど)を選んでいただくと安心です。このように少し意識して過ごしていただくことで、ホワイトニングの効果をより長く保つことができます。
Q.値段はいくらですか?
A.オフィスホワイトニングの料金は、**1回33,000円(税込)**です。
施術は歯科医院で専門スタッフが行い、薬剤や機器を使用するため、この価格には施術に必要なすべての工程が含まれています。
さらに、**2回目以降の施術については、5,000円引きの27,500円(税込)**で受けていただくことができます。
そのため、「もう少し白くしたい」「理想の白さまで仕上げたい」という方にも、続けやすい料金設定となっています。
まとめ
オフィスホワイトニングは、歯科医院で専門スタッフが行う、安全性と効果の高いホワイトニング方法です。
短時間で歯の白さを実感しやすく、「できるだけ早く歯を白くしたい」「自己管理が苦手」という方にもおすすめです。
一方で、ホワイトニングの効果には個人差があり、時間の経過とともに色の後戻りが起こることもあります。
しかしながら、定期的なホワイトニングや日頃のケア、食生活に少し気をつけていただくことで、白さを長く保つことが可能です。
また、施術の流れや注意点、対象外となる方についても、事前にしっかり確認することで、不安なくホワイトニングを受けていただけます。当院では、患者さま一人ひとりのお口の状態やご希望に合わせて、無理のない最適なご提案を心がけています。
「歯の色が気になって思いきり笑えない」「第一印象を良くしたい」とお悩みの方は、ぜひ一度ご相談ください。オフィスホワイトニングで、明るく自信の持てる笑顔を目指してみませんか。
この記事は、西宮北口 アネックスデンタルクリニック院長・岡本が監修しています。


