
歯が抜けたままになっているけれど
「奥歯だし見えないから大丈夫」
「1本くらいなら問題ない」
と思っていませんか?
実は歯がない状態を放置すると、お口の中ではさまざまな変化が起こります。
今回は、歯を失ったまま放置するとどうなるのかを歯科医がわかりやすく解説します。
目次
- 周りの歯が倒れてくる
- 噛み合っていた歯が伸びてくる
- 噛み合わせが崩れる
- 顎の骨が痩せてしまう
- 見た目にも影響することがある
- 歯が抜けた後の治療方法
- 歯を失った場合、どのくらいで治療した方がいい?
- 歯を失っても放置してよい場合はある?
周りの歯が倒れてくる
歯は隣同士で支え合っています。
歯が抜けると、隣の歯がそのスペースに向かって傾いて倒れてきます。
すると
- 歯並びの乱れ
- 噛み合わせのズレ
- 食べ物が詰まりやすくなる
といった問題が起こります。
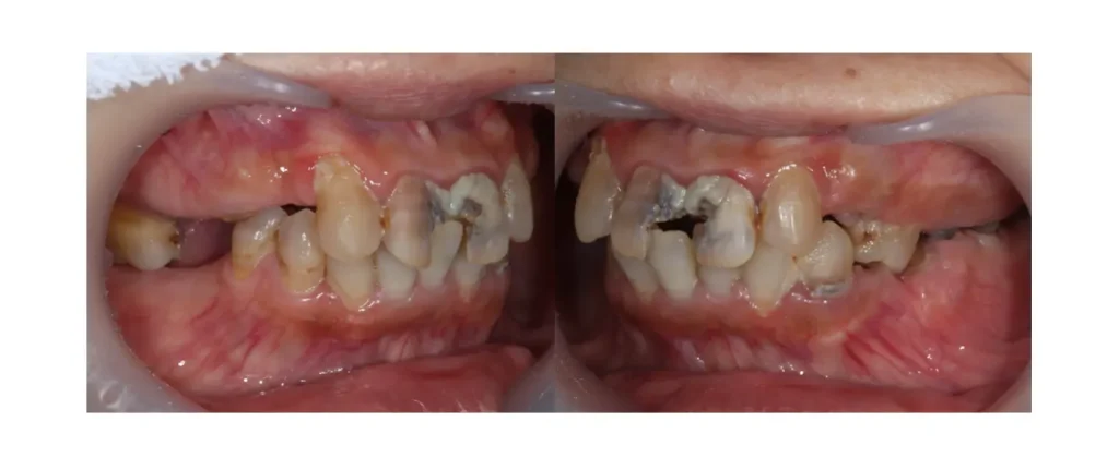
噛み合っていた歯が伸びてくる

歯は噛み合う相手がなくなると、上の写真のように徐々に伸びてきます。
これを挺出(ていしゅつ)といいます。
すると
- 噛み合わせが崩れる
- 顎に負担がかかる
- 将来的に治療が難しくなる
ことがあります。
噛み合わせが崩れる

歯は1本だけで機能しているわけではありません。
全体のバランスで噛み合わせが作られています。
そのため歯が抜けたまま放置すると
- 噛むバランスが崩れる
- 反対側ばかりで噛む
- 他の歯に負担がかかる
といった状態になります。
結果として
残っている他の歯が破折したり、被せ物が取れたり、揺れてきたりして
残っている歯の寿命が短くなる可能性があります。
顎の骨が痩せてしまう

歯がある部分の骨は、噛む力によって維持されています。
歯がなくなるとその部分に刺激がなくなり、顎の骨が徐々に痩せていきます。
骨が減ると
- 将来インプラントが難しくなる
- 入れ歯が安定しにくい
といった問題が起こることがあります。
見た目にも影響することがある
奥歯がない状態が続くと、噛み合わせの高さが低くなり
- 口元のシワ
- 顔のバランスの変化
につながることもあります。
歯が抜けた場合の治療方法

歯を失った場合、主に次の治療方法があります。
- 入れ歯
- ブリッジ
- インプラント
それぞれメリット・デメリットがあり、お口の状態によって適した治療は異なります。
歯を失った場合、どのくらいで治療した方がいい?
歯を失った場合は、できるだけ早めに治療を検討することが大切です。
歯が抜けたままの状態が続くと
- 隣の歯が倒れる
- 噛み合う歯が伸びてくる
- 噛み合わせが崩れる
といった変化が徐々に起こります。
これらの変化は数ヶ月〜1年程度で起こり始めることが多いと言われています。
また歯がない部分の顎の骨は、時間が経つほど少しずつ痩せていきます。
骨が大きく減ってしまうと、将来的にインプラント治療を行う際に骨造成など追加の治療が必要になる場合もあります。
そのため歯を失った場合は、できるだけ早めに歯科医院で相談し、
入れ歯・ブリッジ・インプラントなどの治療方法について検討することをおすすめします。
歯を失っても放置してよい場合はある?
基本的には歯を失った場合、放置することで噛み合わせや周囲の歯に影響が出るため、治療を検討することが望ましいです。
ただし、次のような場合にはすぐに治療を行わず経過観察となるケースもあります。
例えば
- 親知らずなど、もともと噛み合わせに関与していない歯
- 一番奥の歯で噛み合わせへの影響が少ない場合
- 全体の噛み合わせや年齢、健康状態を考慮した場合
などです。
実際の治療の必要性は、お口全体の状態によって判断する必要があります。
そのため歯を失った場合は、放置するかどうかも含めて歯科医院で一度相談することをおすすめします。
まとめ
歯を失ったまま放置すると
- 周りの歯が倒れてくる
- 噛み合う歯が伸びてくる
- 噛み合わせが崩れる
- 顎の骨が痩せてしまう
など、お口全体にさまざまな影響が出る可能性があります。
歯を失った場合は、できるだけ早めに歯科医院で相談し、
入れ歯・ブリッジ・インプラントなど、ご自身に合った治療方法を検討することが大切です。
また、お口の状態によってはすぐに治療が必要でない場合もありますので、まずは歯科医院で現在の状態を確認することをおすすめします。
歯を失ったままで気になることがある方は、どうぞお気軽にご相談ください。
この記事は、西宮北口 アネックスデンタルクリニック院長・岡本が監修しています。


